- Overview
- Services
- Capabilities
- Platforms
- Full-Service Portfolio
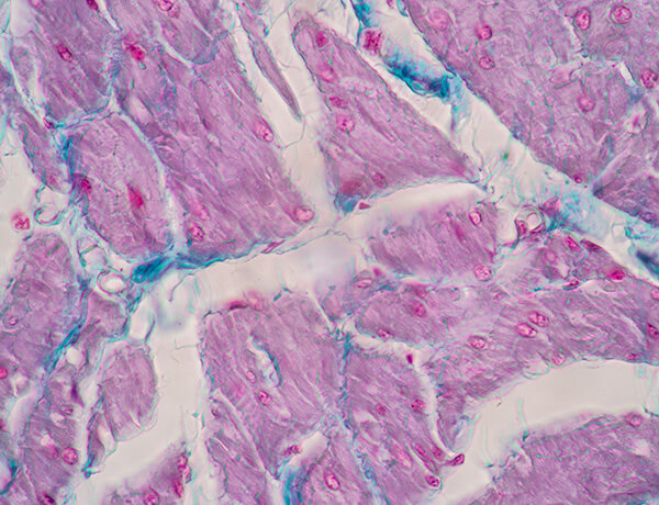
Our Histology Services cover a broad set of tissue-based analytical workflows, including routine histopathology, electron microscopy, and spatial omics. Using established protocols and supported by experienced technical teams, we provide reliable support for sample preparation, staining, imaging, and downstream data analysis tailored to specific project needs. These services are well suited for studies focused on tissue morphology, biomolecule localization, and spatially resolved analysis in preclinical and translational research.
Creative Bioarray's Histology Services

Electron Microscopy Services
Our Capabilities — From Cell to Spatial Omics Integration

Reveal fundamental morphological characteristics, tissue integrity, immune infiltration, and pathological changes through routine and specialized histology.
Structural Insights — Cellular & Tissue Architecture

Capture micro- to nanoscale details using multimodal imaging platforms, from brightfield and fluorescence microscopy to TEM, SEM, and cryo-EM structural analysis.
High-Resolution Imaging — Light, EM, cryo-EM

Map biomolecule distribution directly within tissue contexts through IHC/IF, spatial transcriptomics, spatial proteomics, and metabolite-level detection.
Functional Profiling — Protein, RNA, Metabolite Localization

Combine genomic, proteomic, and metabolic spatial profiles with imaging data to build a comprehensive understanding of cellular organization, signaling networks, and microenvironment interactions.
Systems-Level View — Integrated Spatial Multi-Omics
Technology Platforms
Histology & Preparation Platforms
- Automated tissue processors
- Cryostats and microtomes
- Auto-stainers and special-stain platforms
- High-throughput TMA builders
- High-resolution whole-slide scanners
Microscopy & Ultrastructural Imaging Platforms
- Confocal & Multiphoton Microscopes
- Transmission Electron Microscopes (TEM)
- Scanning Electron Microscopes (SEM)
- Cryo-EM instruments with automated vitrification systems
- High-performance image analysis workstations
Spatial & Proteomic Profiling Platforms
- Digital Spatial Profiling systems
- MALDI-based spatial metabolomics
- Orbitrap / Q-TOF mass spectrometers
- LC-MS/MS systems for targeted proteomics
- Single-cell proteomics instrumentation








